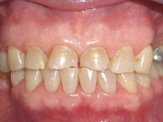
Δημιουργήστε ένα όμορφο χαμόγελο με Πλαστική Χειρουργική του Περιοδοντίου

Δημιουργήστε ένα όμορφο χαμόγελο με Πλαστική Χειρουργική του Περιοδοντίου Δημιουργήστε ένα όμορφο χαμόγελο με Πλαστική Χειρουργική του Περιοδοντίου Ένα γεμάτο αυτοπεποίθηση, όμορφο χαμόγελο είναι ένα από τα πρώτα πράγματα που οι άνθρωποι παρατηρούν στο πρόσωπό σας. Εάν δεν είστε ευχαριστημένοι με το χαμόγελό σας, ένας περιοδοντολόγος μπορεί να σας βοηθήσει! Ακριβώς όπως η πλαστική χειρουργική […]
Γιατί πρέπει να γίνεται «απονεύρωση»;

Γιατί πρέπει να γίνεται «απονεύρωση»; Γιατί πρέπει να γίνεται «απονεύρωση»; Όταν ο πολφός (το νεύρο) του δοντιού έχει υποστεί ζημιά, διασπάται και τα βακτήρια αρχίζουν να πολλαπλασιάζονται μέσα στους ριζικούς σωλήνες. Τα βακτήρια και άλλα σαθρά υπολείμματα μπορούν να προκαλέσουν μια λοίμωξη ή απόστημα. Το απόστημα δημιουργείται όταν η λοίμωξη εξαπλώνεται σε όλη τη διαδρομή […]
Γέφυρα

Γέφυρα Γέφυρα Ένας τρόπος για να αντικατασταθούν τα δόντια που λείπουν μπορεί να είναι μία γέφυρα, με μόνη προϋπόθεση να υπάρχουν επαρκή σε αριθμό, υγιή και ισχυρά δόντια στην περιοχή για να στηρίξουν τα τεχνητά δόντια. Για να κατασκευαστεί μια γέφυρα, τα παρακείμενα δόντια παρασκευάζονται τροχίζοντας τα, αφαιρώντας όλο το σμάλτο, κάνοντας έτσι, χώρο για […]
Βρυγμός

Βρυγμός Βρυγμός (σφίξιμο / τρίξιμο των δοντιών) Βρυγμός είναι ο τεχνικός όρος για τα δόντια σφίξιμο ή/ και τρίξιμο των δοντιών που μπορεί να προκαλεί πόνο στο πρόσωπο και φθορά στα δόντια. Οι άνθρωποι δαγκώνουν ακούσια πολύ δυνατά ή πολύ συχνά, όπως στον ύπνο τους. Εξάλλου οι “βρυγμομανείς” μπορεί επίσης να τρώνε τα νύχια τους, […]
Αποκλείστε την τερηδόνα έγκαιρα

Αποκλείστε την τερηδόνα έγκαιρα Αποκλείστε την τερηδόνα έγκαιρα. Οι πρώτοι μόνιμοι γομφίοι ανατέλουν περίπου στην ηλικία των 6 ετών. Λεπτές προστατευτικές επιστρώσεις που εφαρμόζονται στις μασητικές επιφάνειες των πίσω δοντιών μπορεί να αποτρέψουν την τερηδόνα από τις οπές και σχισμές τους. Ωστόσο, μόνο ένα στα τρία παιδιά έχει πρόσβαση σε τέτοια υλικά. Μιλήστε με τον […]
Αποφύγετε τα πολλά τρόφιμα με ζάχαρη

Αποφύγετε τα πολλά τρόφιμα με ζάχαρη Αποφύγετε τα πολλά τρόφιμα με ζάχαρη ! Όταν τα βακτήρια στο στόμα την διασπούν σε απλά σάκχαρα, παράγουν οξέα που διαβρώνουν το σμάλτο των δοντιών. Τα γλυκά ροφήματα, όπως αναψυκτικά και τα φρουτοποτά, αποτελούν ιδιαίτερη απειλή, επειδή οι άνθρωποι έχουν την τάση να τα πίνουν, αυξάνοντας τα επίπεδα των […]
Βούρτσισμα των δοντιών

Βούρτσισμα των δοντιών Βούρτσισμα των δοντιών Μάθετε να βουρτσίζετε τα δόντια σας τουλάχιστον δύο φορές την ημέρα (μετά τα γεύματα, και καλύτερα πριν από τον ύπνο) χρησιμοποιώντας φθοριούχο οδοντόκρεμα. Με αυτό τον τρόπο βοηθάτε τα δόντια σας να αντισταθούν στις επιθέσεις των μικροβίων. Πρόσφατα άρθρα 12 Ιουλίου, 2024 Δημιουργήστε ένα όμορφο χαμόγελο με Πλαστική […]
Βρυγμός ή τρίξιμο των δοντιών

Βρυγμός ή τρίξιμο των δοντιών Βρυγμός ή τρίξιμο των δοντιών Ο βρυγμός συμβαίνει συνήθως τη νύχτα, ενώ κοιμάστε. Οι περισσότεροι άνθρωποι με βρυγμό δεν γνωρίζουν ότι τρίζουν τα δόντια τους στον ύπνο τους – εκτός αν ο σύντροφός τους ξυπνά από το θόρυβο και τους το πει. Αυτή η συνήθεια είναι εξαιρετικά καταστροφική και στο […]
Βιταμίνη D

Βιταμίνη D Βιταμίνη D – Η βιταμίνη του ήλιου Τα τελευταία χρόνια, η ανεπάρκεια βιταμίνης D αποτελεί ένα αρκετά συχνό φαινόμενο. Αυτό είναι αποτέλεσμα της μειωμένης έκθεσης στον ήλιο και της κακής διατροφής. Ποια είναι όμως τα συμπτώματα της ανεπάρκειας βιταμίνης D και πώς μπορεί να προληφθεί; Τι είναι η βιταμίνη D; Η βιταμίνη D […]
Άφθες

Άφθες Άφθες Οι άφθες είναι μικρά έλκη με μία λευκή ή γκριζωπή βάση με κόκκινο περίβλημα – εμφανίζονται μέσα στο στόμα , συχνά σε ζευγάρια ή ακόμη και σε μεγαλύτερους αριθμούς. Οι ειδικοί δεν είναι σίγουροι για το τι τις προκαλεί. Θα μπορούσαν να είναι προβλήματα του ανοσοποιητικού συστήματος, βακτήρια, ή ιοί. Φαίνεται ότι το […]